稀土元素钽酸盐及其固溶体的新型 X 射线造影剂研究进展
目前医疗实践中使用的含碘 X 射线造影剂(XCA)存在显著安全隐患。5-8% 的患者使用水溶性 XCA 后出现副作用,0.1% 发生严重并发症,致死率约为 1:40000 至 1:10000(表 1)。肾脏并发症(如造影剂诱导的肾病 CIN)风险尤为突出,美国约 2000 万慢性肾病患者及全球超 2.2 亿糖尿病患者均属高危人群。
含碘造影剂的毒性与其水溶性密切相关:经黏膜吸收进入血液后,可通过肾脏排泄引发毒性。传统不溶性钡混悬液虽无全身毒性,但存在误吸致炎症、滞留体内引发梗阻等风险。因此,开发安全高效的新型造影剂成为重要研究方向。
稀土元素与钽的化合物因独特的 X 射线吸收特性成为研究热点。钽酸盐 MTaO₄(M)的 K 吸收跃变范围广(表 2),可通过调节成分实现对比度精准调控,适用于胃肠道、胆道等中空器官的造影检查。
通过固相反应合成稀土钽酸盐及固溶体。以 稀土元素钽(纯度≥99.99%)为原料,按化学计量比混合后在 1450-1500°C 高温下退火 40 小时,中间破碎共混物以确保均匀性。固溶体粉末按比例混合制备,通过 X 射线)确认固溶体形成。
体外对比:制备 0.25-30% 浓度的凝胶悬浮液(天然多糖为基质),与 30% 泛影葡胺、标准钡混悬液(SBS)进行对比度测试。使用 Arman-1 装置(63 kV, 6 mAs)拍摄 X 射线 显微密度计测量胶片不透明度;利用 Syntec-2000 I CT 扫描评估不同浓度制剂的断层成像效果(图 4 为 LaTaO₄、BaSO₄、Ta 的 X 射线衰减对比)。
大鼠胃肠道研究:25% 稀土TaO₄凝胶(5 ml)灌胃后,分别在 0、1、3、6、12、24 小时拍摄 X 射线片,观察排空速率与显影清晰度。
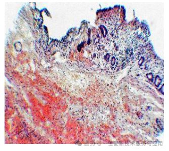
犬胆道造影:通过胆囊穿刺注入 20-30% 稀土TaO₄混悬液(5-8 ml),术中实时成像并取组织样本(苏木精 - 伊红染色),对比泛影葡胺对黏膜的影响(图 10、图 11)。
纳米颗粒实验: 稀土TaO₄微粉制备纳米颗粒(粒径约 20 nm,图 16),5% 混悬液皮下 / 肌内注射大鼠,观察 8 天内的局部对比度与组织反应(图 17 - 图 21)。
稀土TaO₄(LOT)为白色无定形粉末,密度 7.63 g/cm³,熔融温度 1930°C,在盐酸、硫酸钠等强电解质溶液中不溶解,化学稳定性显著优于含碘制剂。
晶体结构分析显示,稀土TaO₄属单斜晶系(空间群 P2/c),钽离子以扭曲八面体配位,镧离子通过层间作用连接,形成稳定骨架(图 2)。
图4.含有不同粉末物质的胶片中X射线辐射衰减(μ)(μ=(I0-I)/I0;I0是照射到胶片上的辐射强度,I是穿过胶片的辐射强度)随管电压(U)的变化。
图6.不同浓度的GOT凝胶混悬液与30%尿路造影剂的X射线对比特性比较。
大鼠胃内给药后,30% 稀土TaO₄凝胶在 24 小时内完全排泄,食管、胃、小肠轮廓清晰,对比度维持时间优于钡混悬液(图 7)。
图7.含30%胶状LOT (a)、标准钡悬浮液(b)和30%尿素(c)的大鼠食道、胃和十二指肠对比研究。
犬胆道造影中,30% 稀土TaO₄可清晰显示直径≥7 mm 的结石,肝内胆管分支显影分辨率达 0.5 mm(图 9)。相比之下,泛影葡胺组黏膜出现大面积坏死,而 稀土TaO₄组仅见轻度淋巴细胞浸润(图 10、图 11)。
图9.使用10% (a,b)、20% (c,d)和30 % (e,f)placeLOT凝胶混悬液对犬进行术中胆囊胆管造影。相同图像放大4倍(b,d,f)。
图10.犬胆囊注射LOT 30 %凝胶混悬液后,苏木精和伊红染色,100倍放大。
固溶体 稀土TaO₄的晶格参数随 Gd 含量增加线),证实形成均相体系(图 12)。当 x=0.18 时,X 射线胶片不透明度(S 值)达 0.025,较纯 TaO₄提升 15%(图 15)。
图15.含有稀土TaO4的试管X射线胶片图像平均不透明度与成分、颗粒平均尺寸及物理技术条件的关系:40 kV,40 mA,0.12秒(a),52 kV,40 mA,0.12秒(b)。TaO4颗粒平均尺寸与其成分之间的关系(c)。
颗粒尺寸影响显著:平均粒径从 2.6 μm 降至 0.5 μm 时,S 值增加 30%,表明纳米化可增强散射效率(图 15c)。
当 X 射线 kV 时,稀土TaO₄的不透明度下降 20%,提示可通过调节成像参数优化对比度(图 15a、b)。这一特性为多能谱 CT 成像提供了潜在应用场景。
制备的稀土TaO₄纳米颗粒呈准球形,粒径分布 20-50 nm,虽存在团聚现象,但在二甲基甘油硅基质中分散均匀(图 16、图 17)。
图17.含有液体样品的玻璃瓶的射线照相:左边是蒸馏水,底部和壁上含有不溶于水的不透射线物质颗粒。
大鼠皮下注射实验显示,5%纳米混悬液在45分钟内形成清晰不透射线 天后仍可检测到颗粒沉积,且无红肿、纤维化等炎症反应(图18-图21)。
急性毒性实验中,小鼠腹腔注射 LD₅₀>5000 mg/kg,属实际无毒级别;兔眼刺激实验显示角膜、结膜无损伤。
长期毒性实验(28天)未见肝肾功能异常,组织切片显示注射部位仅有少量巨噬细胞浸润,证实生物相容性优异。
本研究开发的稀土钽酸盐及其固溶体凝胶造影剂,兼具高安全性与优异成像性能:相比含碘制剂,其不溶于水的特性避免了全身毒性,且对胆道黏膜无刺激;对比度方面,稀土TaO₄的X射线吸收能力显著优于钡和碘,尤其在胆道造影中可实现肝管分支与微小病变的高分辨率显影(分辨率达 0.5 mm)。通过固溶体成分调控与颗粒尺寸优化,可连续调节造影剂的比效力,适配不同器官与成像技术的需求。纳米制剂在局部造影(如皮下、肌内注射)中表现出长期对比度维持能力与生物相容性,拓展了其应用场景。未来研究需聚焦于制剂稳定性提升与临床前毒理学验证,推动该类新型造影剂向临床转化,为肾功能不全、碘过敏等高危患者提供安全有效的诊断选择。
好消息:物理考了99,坏消息:班级有19个100分,一位南京家长的郁闷
Puget:AMD、英特尔新款MSDT处理器故障率相当,X3D低于平均
消息称REDMI K Pad 2上半年发布,或将搭载联发科天玑9500s
消息称联想拯救者Y700是2026首个骁龙8E5旗舰小平板,选用LCD屏幕

